|
|
|
Fuellen der Loescher nach der Kantendetektion |
|
| Gast |
|
 |
Beiträge: ---
|
 |
|
 |
Anmeldedatum: ---
|
 |
|
 |
Wohnort: ---
|
 |
|
 |
Version: ---
|
 |
|
|
 |
|
Verfasst am: 19.04.2010, 13:02
Titel: Fuellen der Loescher nach der Kantendetektion
|
 |
| |
 |
|
Hallo,
Ich habe folgendes Problem und hoffe hier ewas Hilfe zu bekommen.
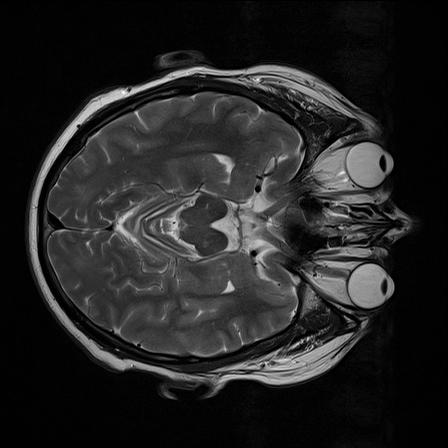
Ich arbeite an der Extraktion der Augen aus MR-Bildern (3D Daten) um im folgenden spezifische Paramter zu bestimmen (Groesse, Volumen...) und sie letztendlich als 3D Modell darzustellen. Leider ergeben sich oftmals durch den schwachen Kontrast zwischen dem Auge und dem umliegenden Gewebe Probleme das Auge korrekt zu extrahieren (z.B. mittels 'region growing').
Meine Idee war nun zuerst eine Kantendetekion (Canny) durchzufuehren, die so gefundenen Kanten in das Originalbild einzufuegen und dann den 'region growing algorithmus' anzuwenden.
Leider wird allerding in der Regel wird keine geschlossene Kontur (um das Auge) erkannt, was bei dem folgendem 'region growing algorithmus' dazu fuehrt, dass er ueber das Auge hinaus geht. Zu besseren Vorstellung habe ich ein Originalbild und das Bild nach der Kantendetektion mit angehangen.
Meine Frage waere also, ob es eine Moeglichkeit gibt die 'Loescher' in den Kanten zu schliessen (wobei ich noch nicht wirklich weiss wie ich die Datenpunkte der Kanten die zum Auge gehoeren bestimmen kann, die fuer eine Approximation wohl notwendig waeren) oder vielleicht den Kontrast zwischen Auge und umgeben Gewebe so zu verbessern, dass die Kanbtendetektion immer eine geschlossene Kontur ausgibt.
Vielleicht hat auch jemand einen ganz anderen und viel besseren Ansatz als ich die Augen aus einem 3D Datensatz zu extrahieren.
Auf jeden Fall bin ich fuer jeden Rat sehr dankbar.
MFG
| Beschreibung: |
|
 Download |
| Dateiname: |
nach_Kantendetektion.ppt |
| Dateigröße: |
137 KB |
| Heruntergeladen: |
599 mal |
| Beschreibung: |
|
 Download |
| Dateiname: |
nii_eye.jpg |
| Dateigröße: |
23.02 KB |
| Heruntergeladen: |
767 mal |
|
|
|
|
|
|
| derOli |

Forum-Meister
|
 |
Beiträge: 579
|
 |
|
 |
Anmeldedatum: 19.03.08
|
 |
|
 |
Wohnort: Leipzig
|
 |
|
 |
Version: 2010a
|
 |
|
|
 |
|
Verfasst am: 19.04.2010, 16:29
Titel:
|
 |
Hi, ich kenne mich mit Bildern nicht so aus, aber um den Mittelpunkt von den Augen zu finden würde ich vertikale und horizontalle Helligkeitshistogramme erstellen. Dann würde ich den Schnittpunkt zwischen horizontallen Maximum und 2 vertikallen Maxium bestimmen. Bzw. je danach ob die Bilder auch anders herum sein werden usw. Dann hättest du schon einmal den Mittelpunkt der Augen, vielleicht hilft dir das schon weiter, danach könntest du ja von dort aus Kantendetektion oder growing oder autocorrelation berrechnen.
Viele Grüße,
der Oli
|
|
|
|
| Gast |
|
 |
Beiträge: ---
|
 |
|
 |
Anmeldedatum: ---
|
 |
|
 |
Wohnort: ---
|
 |
|
 |
Version: ---
|
 |
|
|
 |
|
Verfasst am: 20.04.2010, 12:56
Titel:
|
 |
Hi, erstmal Gruesse nach Leipzig, da komm ich naemlich auch her .
Also ich denke das deine Idee leider nicht funktioniert, da die Maximas nicht zwangslaeufig im Auge liegen muessen, es gibt auch teilweise einzelne Pixel im Gehirn die heller sind. Somit ware der Schnittpubkt nicht im Auge.
Und nebenbei ist dies auch nicht das hauptproblem, da ich ich schlimmsten Fall auch den User einen Seedpunkt im Auge festlegen lassen koennte.
Prob. ist halt die Kantendetektion des Auges als ganze Kontur oder den Kantenkontrast zuvor zu verstaerken.
Vielleicht hat noch jemand ne Idee?
|
|
|
|
| LittleX |

Forum-Guru
|
 |
Beiträge: 494
|
 |
|
 |
Anmeldedatum: 14.05.09
|
 |
|
 |
Wohnort: ---
|
 |
|
 |
Version: ---
|
 |
|
|
 |
|
Verfasst am: 20.04.2010, 13:21
Titel:
|
 |
Hallo,
hast Du beim Canny-Edge schon mal mit den Parameter gespielt? Gerade mit Hilfe der Schwellwerte kann man ja durchaus sehr unterschiedliche Ergebnisse erzielen.
Wenn dann nur noch kleine Lücken sind, könntest Du diese mit Hilfe von Morphology (siehe imdilate) schließen.
Ansonsten kannst Du Lücken in der Kontur auch durch interpolation füllen (z.B. mit splines).
Im Hinblick auf Vorverarbeitung kannst Du Du ja mal mit imtool das Bild anzeigen und interaktive den Kontrast und Helligkeit verändern. Oder probier mal, was passiert, wenn Du einen Histogramm-Ausgleich durchführst (histeq bzw. adapthisteq).
Die Hough-Transformation für Kreise (findet Kreise im Bild) könnte für Dich eventuell auch interessant sein. In der IP toolbox wird zwar nur Hough für Linien mitgeliefert im File Exchange finden sich aber auch Implementierungen für Kreise.
Viele Grüße,
LittleX
|
|
|
|
|
|
|
Einstellungen und Berechtigungen
|
|
Du kannst Beiträge in dieses Forum schreiben. Du kannst auf Beiträge in diesem Forum antworten. Du kannst deine Beiträge in diesem Forum nicht bearbeiten. Du kannst deine Beiträge in diesem Forum nicht löschen. Du kannst an Umfragen in diesem Forum nicht mitmachen. Du kannst Dateien in diesem Forum posten Du kannst Dateien in diesem Forum herunterladen
|
|
Impressum
| Nutzungsbedingungen
| Datenschutz
| FAQ
| RSS
Hosted by:
Copyright © 2007 - 2026
goMatlab.de | Dies ist keine offizielle Website der Firma The Mathworks
MATLAB, Simulink, Stateflow, Handle Graphics, Real-Time Workshop, SimBiology, SimHydraulics, SimEvents, and xPC TargetBox are registered trademarks and The MathWorks, the L-shaped membrane logo, and Embedded MATLAB are trademarks of The MathWorks, Inc.
|
|