|
|
|
Hilfe bei Erkennung der Seite eines Oberschenkelknochens |
|
| zisko5 |

Forum-Newbie
|
 |
Beiträge: 1
|
 |
|
 |
Anmeldedatum: 21.06.16
|
 |
|
 |
Wohnort: ---
|
 |
|
 |
Version: ---
|
 |
|
|
 |
|
Verfasst am: 21.06.2016, 09:46
Titel: Hilfe bei Erkennung der Seite eines Oberschenkelknochens
|
 |
| |
 |
|
hallo,
ich bitte um Hilfe. Muss dazu sagen, dass ich mich in Matlab nicht wirklich auskenne, ein paar Grundfunktionen hab ich schon gelernt.
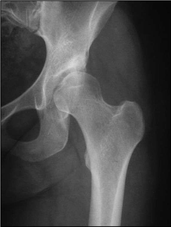
Wir sollen ein Programm schreiben und dann mit GUI ausführen lassen. Das Programm soll ein Röntgenbild (Oberschenkelknochen s. Anhang) einlesen und selbständig erkennen ob es sich um die Aufnahme eines linken oder rechten Oberschenkelknochen handelt.
jetzt die frage wie sollte ich das am besten machen? hat jemand ne idee? Die hochgeladene Datei ist ein linker Knochen. Habe mir evtl. überlegt den Knochen vertikal zu teilen. Danach könnte das Programm gucken auf welcher Bildseite mehr weiße Pixel vorhanden ist und daraus schlussfolgern ob es ein linker oder rechter Knochen ist. Denn wenn z.b. bei einem geteilten bild mehr weiße pixel auf der linken seite sind dann handelt es sich um einen linken knochen und umgekehrt. Muss dazu sagen, dass der Anspruch NICHT der ist, dass das Programm bei jedem Bild funktioniert. Das wäre z.b. eine Idee. Ob es mit Matlab klappt und wie weiß ich nicht deswegen bin ich für jeden Hilfe dankbar!
mfg zisko
| Beschreibung: |
|
 Download |
| Dateiname: |
Femur.jpg |
| Dateigröße: |
70.61 KB |
| Heruntergeladen: |
730 mal |
|
|
|
|
|
|
| gs |

Forum-Century
|
 |
Beiträge: 172
|
 |
|
 |
Anmeldedatum: 17.03.16
|
 |
|
 |
Wohnort: ---
|
 |
|
 |
Version: ---
|
 |
|
|
 |
|
Verfasst am: 21.06.2016, 13:06
Titel:
|
 |
Hi,
hilft dir sowas hier weiter?
Grüße gs
|
|
|
|
|
|
|
Einstellungen und Berechtigungen
|
|
Du kannst Beiträge in dieses Forum schreiben. Du kannst auf Beiträge in diesem Forum antworten. Du kannst deine Beiträge in diesem Forum nicht bearbeiten. Du kannst deine Beiträge in diesem Forum nicht löschen. Du kannst an Umfragen in diesem Forum nicht mitmachen. Du kannst Dateien in diesem Forum posten Du kannst Dateien in diesem Forum herunterladen
|
|
Impressum
| Nutzungsbedingungen
| Datenschutz
| FAQ
| RSS
Hosted by:
Copyright © 2007 - 2026
goMatlab.de | Dies ist keine offizielle Website der Firma The Mathworks
MATLAB, Simulink, Stateflow, Handle Graphics, Real-Time Workshop, SimBiology, SimHydraulics, SimEvents, and xPC TargetBox are registered trademarks and The MathWorks, the L-shaped membrane logo, and Embedded MATLAB are trademarks of The MathWorks, Inc.
|
|